心臓病診断サービスで心臓病を早期発見
心臓病診断サービスで心臓病を早期発見
大事な家族である犬や猫には健康で長生きしてほしいものです。
しかし、突然の病気や寿命は避けられないもの。
動物たちの病気を早期発見することで治療することができるかもしれません。
安藤動物病院では、動物の心臓病の進行状態や原因を見つけるための「確定診断サービス」を行っております。
ぜひご利用ください。
しかし、突然の病気や寿命は避けられないもの。
動物たちの病気を早期発見することで治療することができるかもしれません。
安藤動物病院では、動物の心臓病の進行状態や原因を見つけるための「確定診断サービス」を行っております。
ぜひご利用ください。
サービス内容
心臓病診断サービス(確定診断サービス)
心臓病診断サービス
心臓病の進行状態や原因を見つけることが出来ます。
※予約制
心臓病確定診断に必要な検査を行い、臨床診断名と悪性度についてご報告いたします。
検査とご報告には1-2時間が必要です。
※予約制
心臓病確定診断に必要な検査を行い、臨床診断名と悪性度についてご報告いたします。
検査とご報告には1-2時間が必要です。
1)検査報告書
2)内科的治療の処方箋
3)急性期心臓病の場合は症状が安定するまで2-3回の治療と評価を行う場合があります。
4)慢性期心臓病の場合は3カ月または6カ月間隔での簡易継続検査をお勧めしています。
【検査項目】
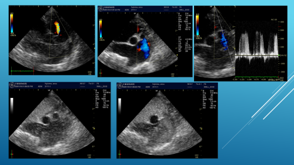
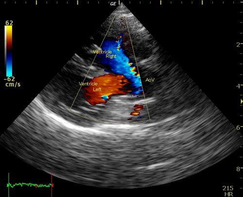
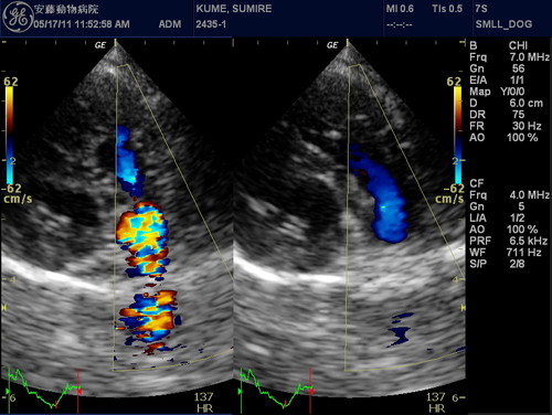
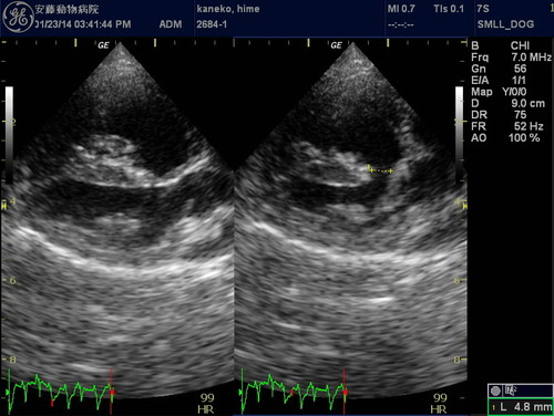
一般身体検査(聴診など)、血液検査、心電図検査、レントゲン検査、心臓エコー検査
【追加検査】
心奇形:心臓カテーテル検査又はマイクロバブルエコー検査
不整脈:ホルター心電図検査(24時間心電図)、負荷心電図検査
2)内科的治療の処方箋
3)急性期心臓病の場合は症状が安定するまで2-3回の治療と評価を行う場合があります。
4)慢性期心臓病の場合は3カ月または6カ月間隔での簡易継続検査をお勧めしています。
【検査項目】
一般身体検査(聴診など)、血液検査、心電図検査、レントゲン検査、心臓エコー検査
【追加検査】
心奇形:心臓カテーテル検査又はマイクロバブルエコー検査
不整脈:ホルター心電図検査(24時間心電図)、負荷心電図検査
ホルター心電図検査サービス(24時間心電図)
ホルター心電図検査サービス
ホルター心電図検査では、日常生活の中での心機能を24時間見逃すことなく知ることができます。
検査当日までに機材をお送りします。
1日~3日分のデータを郵送していただきましたら、データ解析後に報告書にまとめてお送りいたします。
※予約制
検査当日までに機材をお送りします。
1日~3日分のデータを郵送していただきましたら、データ解析後に報告書にまとめてお送りいたします。
※予約制
心臓バイマーカー検査サービス(心筋トロポニンI)
心筋トロポニンIは心筋細胞の壊死や負荷で増加することが知られています。
この様な特性を生かして心臓病の悪性度や治療効果判定に利用できます。
血清または血漿をクール便でお送りしていただきましたら、3日以内に結果を報告いたします。
この様な特性を生かして心臓病の悪性度や治療効果判定に利用できます。
血清または血漿をクール便でお送りしていただきましたら、3日以内に結果を報告いたします。
エコー心臓・血管造影検査
心臓エコー検査・マイクロバブル造影法
カテーテル心臓血管造影・圧測定検査
兵庫ペット医療センターで行います。















